+37379562144
+37360255576
mun. Băți, Str. Carol Schmidt 10
Luni-Vineri 8:00-20:00
Sâmbătă 8:00-13:00
ACASĂ
SERVICII
CAZURI CLINICE
DESPRE NOI
CONTACTE
RO
RO
RU
Doresc o programare
✕
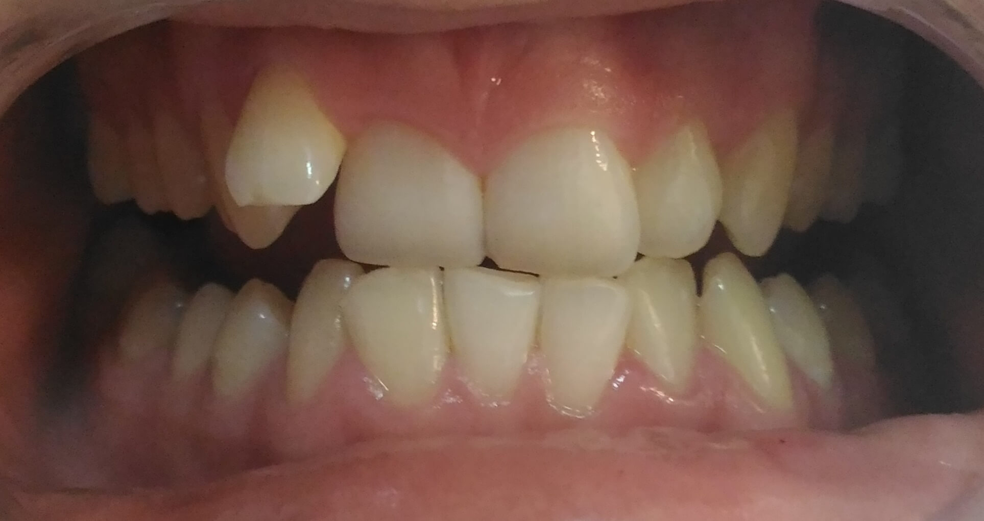
Cazuri clinice
Tratament ortodontic
Doctor: Ion Bostan
Aparat dentar fix
Durata tratamentului: 18 luni
Tratament ortodontic
Doctor: Ion Bostan
Aparat dentar fix
Durata tratamentului: 17 luni
Tratament ortodontic
Doctor: Ion Bostan
Aparat dentar fix
Durata tratamentului: 24 luni